Let us transform the function and aesthetic of your smile. Book an appointment today!
We take a holistic treatment and airway-centric approach to orthodontics, considering our patients specific facial aesthetics, bone structure, soft tissue support, airway function, and temporomandibular joints.
Your journey to straighter teeth begins with a consultation. Dr. Miller will examine your teeth and relevant x-rays and image studies. If we need more information, we may use our i-CAT scanner for imaging, along with other technology, to create your treatment plan.
We use i-CAT v17 – CBCT award-winning 3D diagnostic imaging. We can take 3D digital images of your teeth and underlying jaw structure with exceptional detail.
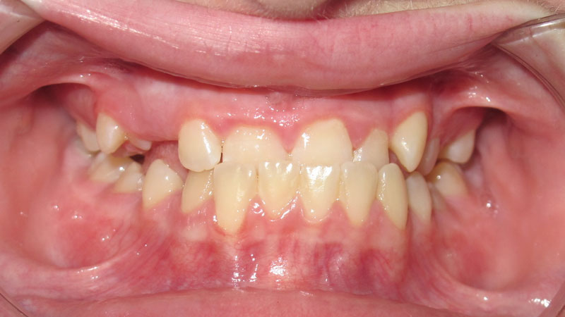
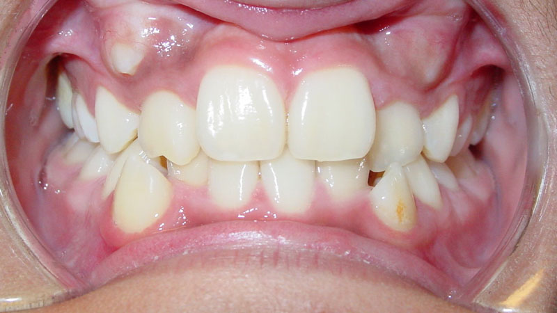
Younger patients may require some treatment to prepare for braces. Dr. Miller will discuss this with you at the initial consultation.
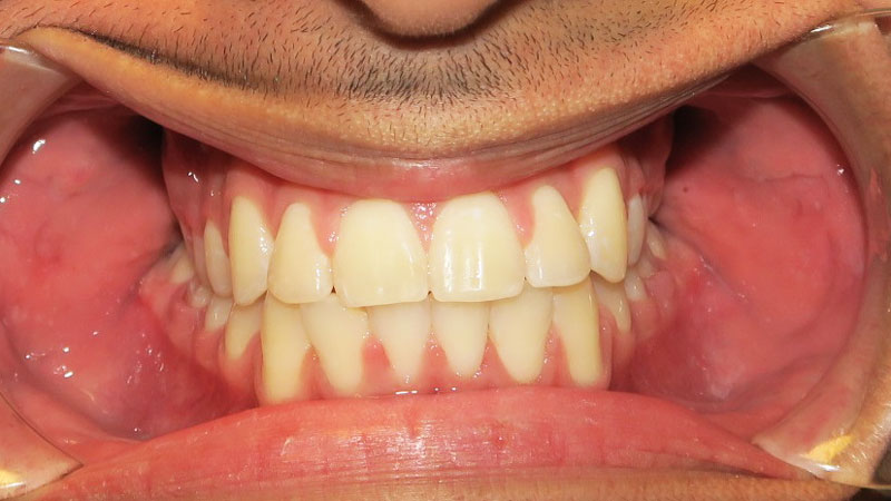
We offer both traditional metal braces, Clarity™ Ceramic Bracket Braces, and Incognito™ Hidden Braces. We’ll discuss each option and decide together which is the best option for you.
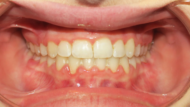
When your treatment is complete, we will provide you with retainers. It’s important to wear these as instructed to maintain your new, perfect smile.
According to the American Association of Orthodontists, children should have an evaluation by an orthodontist by age 7.
The level of patient care, service, and attention you receive at our doctor-owned and operated practice can’t be beat by other practices owned by a large DSO conglomerate.
Because we are a private practice, we can provide the best orthodontic care in Yukon, OK, starting with a patient-centered, holistic approach. We take our time to understand our patients and their oral care habits to create a treatment plan that is specific to the individual. That may be braces, clear aligners, or an adjustment in your oral care and mouth position habits.






























Call 405-577-6453 or contact us to make an appointment now!